Understanding the Condition That Changed My Life

It was just another regular morning. Nothing seemed off—at least, nothing out of the ordinary for someone who had been battling splitting headaches for over a year. I used to joke that Ibuprofen had basically become one of my food groups. Looking back, that wasn’t funny at all.
In 2013, everything changed. One moment, I was pushing through another rough day, and the next, I was in the hospital with a brain hemorrhage. The cause? A condition I had never even heard of before: AVM.
Since then, life has taken a turn I never saw coming. I’m now a hemiplegic. Only the right side of my body works, and everything I once did without a second thought—walking, running, typing with two hands, holding my kids with both arms—suddenly became impossible.
This post isn’t meant to scare anyone. If anything, I just want to share what AVM actually is in plain language and walk you through how it flipped my world upside down. Maybe it helps someone recognize a sign they’ve been ignoring. Maybe it makes someone with a similar story feel less alone.
Either way, this is a story I need to tell.
What Is AVM? (In Simple Words)
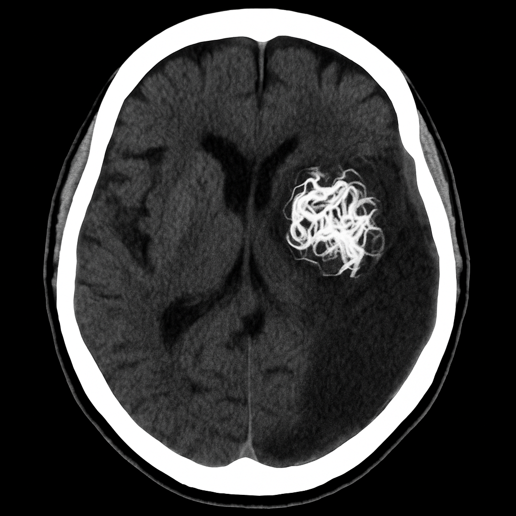
AVM stands for arteriovenous malformation—a term that sounds like something Meredith Grey would throw around in the middle of a dramatic ER scene. And funny enough, it has been tackled more than once on shows like Grey’s Anatomy and House. Except, in real life, there are no background scores or perfectly timed epiphanies. Just confusion, hospital lights, and a whole lot of “Wait, what’s happening?”
So, let’s break it down without the TV drama.
Normally, your blood vessels work like a well-planned road system. Arteries carry blood away from your heart, veins bring it back, and capillaries in the middle help everything slow down and transition smoothly. But with an AVM, those capillaries are skipped entirely. Instead, arteries and veins are tangled together like a bunch of knotted earphones, pushing blood through at the wrong pressure and speed.
When this happens in the brain—which it often does—it can be dangerous. Really dangerous.
My AVM had been sitting there since birth. After surgery, my neurosurgeon explained that it was a congenital condition, meaning it developed before I was born. It’s not something I did or didn’t do—it just was. A hidden defect I had been living with unknowingly for 3 decades and 4 years.
Statistically, AVMs are rare. They affect less than 1% of the population, and many people go their entire lives without even knowing they have one. Sometimes, they stay silent. Other times—like mine—they rupture, causing brain bleeds, strokes, or worse.
And the symptoms? Not always obvious. I had relentless headaches for over a year, and all I did was pop painkillers and try to carry on. Turns out, my body had been sending distress signals, but I didn’t know the language yet.
So if you’re wondering what AVM is in plain terms: it’s a hidden tangle of blood vessels in your body’s wiring that you’re likely born with—and when it breaks, everything changes.
How I Discovered I Had an AVM
If someone had mentioned “AVM” to me back then, I would’ve probably just nodded politely, pretending I knew what it meant. I had never heard of it before. It wasn’t something you randomly talk about over coffee breaks or family dinners.
At the time, I was working at Starbucks—dealing with difficult customers, staying on my feet for hours, and trying not to let the stress eat me alive. Add Manila traffic to that mix and you’ve got the perfect storm. Every day, I’d power through the chaos, just trying to make it home in one whole, sane piece for my family.
The headaches were always there. They weren’t just annoying—they were constant, heavy, and would sometimes feel like my skull was pulsing from the inside. What really threw me off, though, was how much worse they got during my period. That’s what led me to visit an OB-Gyne. I figured it had to be hormonal.
She told me it was just migraines. Nothing serious. Her advice? “As soon as you feel it coming on, take an ibuprofen. Don’t wait.” So I followed her instructions. I took the meds like it was part of my routine. And I kept going—because life doesn’t exactly pause just because your head’s on fire.
But in October 2013, everything came crashing down.
My AVM ruptured.
One moment, I was going through another exhausting day, and the next, I was in the hospital, in a coma, unable to move the left side of my body. I didn’t even know what hit me. Everything blurred—doctors, machines, the fear in my family’s eyes.
That’s when my neurosurgeon explained it. I had something called an arteriovenous malformation. A rare tangle of blood vessels in my brain. It had been there since birth—a congenital condition. I didn’t cause it. I couldn’t have prevented it. I just had it, silently, all that time.
And here’s what still gives me chills: many people who die from AVMs never even know they had one. They go through life with no symptoms or just minor ones, until one day, it ruptures—and the diagnosis only comes after death, during an autopsy.
That could’ve been me.
So no, I didn’t “discover” I had an AVM. It made itself known by turning my entire existence upside down. And since that moment, everything has changed.
The Impact It Had on My Life
Before it all happened, I was busy—really busy. Life was loud, fast, and full of responsibilities. I had just come from two work trips, one to Cebu and another to Davao, weeks apart. Both were for Starbucks, where I helped train management team members. It wasn’t back-to-back, but still… it felt like I hadn’t caught my breath in months.
Right before the stroke, I had handled a couple of very difficult customers—the kind that test every ounce of patience you have left. By the end of those shifts, I was beyond exhausted. But I didn’t slow down. I told myself I could rest later. I had a job to do, a family to care for, and a routine to keep.
Then came the rupture. No warning. No time to prepare.
I had a craniotomy—they had to open my skull to fix what needed fixing. That buildup of pressure could’ve taken everything. When I woke up, the world felt off. My body didn’t move the way it used to. The entire left side was numb, unresponsive, and silent. My arm hung uselessly, a dead weight. My leg wouldn’t budge. I had to learn right then and there what it meant to lose control of your own body.

I stayed in the ICU for several days, then spent nearly a month in the hospital. Those days were filled with rehab, medication, nurses, and trying to string together basic movements. Like a little child, I was learning things again. I celebrated tiny wins—sitting up, feeding myself, brushing my teeth with help. Each step was a victory and a reminder of how much had changed.
I used to be on the go constantly—leading trainings, managing store chaos, navigating traffic like a pro. But after the stroke, all of that stopped. I had to face life with hemiplegia, where only my right side now works. Every little task suddenly needed strategy, patience, and help.
The physical challenges were hard enough. But the emotional weight? That was heavier. Losing that fast-paced version of me was like grieving someone I used to know. I missed her—her energy, her strength, her independence. And at the same time, I had to start accepting this new version of myself. Slower, yes. But still here. Still trying.
Recovery has been about rebuilding, one day at a time, with new tools, new limits, and new strength I didn’t know I had.
What I Wish Others Knew
People often look at me and see someone who’s “okay now.” Someone who survived something big and came out stronger.
One of the most difficult parts of recovery has actually been emotional regulation. My AVM was located on the right side of my brain, which plays a key role in processing and controlling emotions, especially those linked to fear, frustration, and sadness. This region includes parts of the frontal and temporal lobes, areas that help manage emotional responses and impulse control.
I didn’t understand it right away, but it makes sense now—why my feelings sometimes feel so overwhelming and unpredictable. I can experience sudden emotional shifts, go from calm to crying without warning, or feel irritability that I struggle to contain. It’s not just “being moody”—it’s my brain still healing and rewiring after trauma to the very part that helps keep my emotions in check.
Physically, I’m constantly sore. My whole body aches most days, especially the side that still works. It’s overcompensating, carrying weight it was never meant to handle on its own. Some mornings, I wake up and just don’t want to get out of bed. Not because I’m lazy, but because I’m tired. Deep, bone-deep tired. But I have responsibilities. I’m a mom. A wife. Life goes on, even when your body wants to stay still.
There have been so many moments I’ve nearly lost my balance and crashed to the floor. Simple things like turning too quickly or misjudging a step become real risks now. I’ve gotten good at catching myself, but that fear—it’s always there.
And then there’s the anxiety. Before all this, I never gave a second thought to stairs or balconies. Now, just the thought of climbing a flight of stairs or looking out from a high place can set off full-blown panic. I developed acrophobia—a fear of heights—and I never had it before. It’s not just a little unease. Sometimes it’s so jarring, my chest tightens, my hands shake, and I just break down and cry. No warning. No buildup. Just a flood of fear I can’t explain to anyone in that moment.
What I wish others knew is that healing isn’t linear, and survival doesn’t mean everything’s back to normal. I’m still learning how to move, cope, breathe through panic, and forgive myself on the hard days.
So if you know someone going through something similar, don’t assume they’re fine just because they’re smiling or “getting back to life.” Sometimes, the hardest battles are the quiet ones fought in stairwells, bedrooms, and behind closed doors.
Final Thoughts
If you’ve read this far, maybe it’s because you’re curious, maybe you’re going through something, or maybe you know someone who is. Whatever brought you here, thank you for staying.
So here’s a question worth asking: When was the last time you truly listened to what your body was trying to tell you?

